HRTD Medical Institute

Skin Histology and Cytology

Skin Histology and Cytology

Skin histology describes the microscopic structure of the skin, which is composed of three main layers: the epidermis, dermis, and hypodermis. It also includes appendages like hair follicles, glands, and nails. 

Skin – Normal Histology – NUS Pathweb :: NUS Pathweb
Histology of the Skin | Plastic Surgery Key
Histology of Skin - NEET PG Anatomy
HistoQuarterly: SKIN | Histology Blog
Histology of Skin - NEET PG Anatomy

Layers of the skin

Epidermis

The epidermis is the outermost, protective layer of stratified squamous epithelium. It is composed mainly of keratinocytes and, in most of the body (thin skin), has four sub-layers. A fifth layer, the stratum lucidum, is present only in thick skin, such as on the palms and soles. 

এপিডার্মিস হল স্তরীভূত স্কোয়ামাস এপিথেলিয়ামের বাইরেরতম, প্রতিরক্ষামূলক স্তর। এটি মূলত কেরাটিনোসাইট দ্বারা গঠিত এবং শরীরের বেশিরভাগ অংশে (পাতলা ত্বকে) চারটি উপ-স্তর থাকে। পঞ্চম স্তর, স্ট্র্যাটাম লুসিডাম, শুধুমাত্র পুরু ত্বকে উপস্থিত থাকে, যেমন হাতের তালু এবং তলায়।
  • Stratum basale (basal layer): The deepest layer, closest to the dermis, contains mitotically active stem cells that divide to produce new keratinocytes. It also contains melanocytes, which produce the pigment melanin, and Merkel cells, which are mechanoreceptors for touch.
  • Stratum spinosum (prickle cell layer): Composed of several layers of polyhedral cells connected by desmosomes, which appear as “spines” in a histological section. This layer also contains Langerhans cells, which function in immune surveillance.
  • Stratum granulosum (granular layer): Keratinocytes in this layer flatten and accumulate dense, basophilic keratohyalin granules, which are essential for keratin formation. Cells also secrete lipids into the extracellular space to form a water barrier.
  • Stratum lucidum (clear layer): A thin, translucent layer of flattened, dead keratinocytes found only in thick skin.
  • Stratum corneum (horny layer): The outermost layer, consisting of multiple layers of dead, flattened, anucleated cells (corneocytes) filled with keratin. It forms a durable, waterproof barrier. 
স্ট্র্যাটাম বেসাল (বেসাল স্তর): ডার্মিসের সবচেয়ে কাছের স্তরে মাইটোটিক্যালি সক্রিয় স্টেম কোষ থাকে যা নতুন কেরাটিনোসাইট তৈরি করতে বিভক্ত হয়। এতে মেলানোসাইটও থাকে, যা রঙ্গক মেলানিন তৈরি করে এবং মার্কেল কোষ, যা স্পর্শের জন্য মেকানিকরসেপ্টর।

স্ট্র্যাটাম স্পিনোসাম (প্রিকল কোষ স্তর): ডেসমোসোম দ্বারা সংযুক্ত পলিহেড্রাল কোষের কয়েকটি স্তর নিয়ে গঠিত, যা হিস্টোলজিক্যাল বিভাগে "মেরুদণ্ড" হিসাবে উপস্থিত হয়। এই স্তরে ল্যাঙ্গারহ্যান্স কোষও রয়েছে, যা রোগ প্রতিরোধ ক্ষমতা পর্যবেক্ষণে কাজ করে।

স্ট্র্যাটাম গ্রানুলোসাম (দানাদার স্তর): এই স্তরের কেরাটিনোসাইটগুলি ঘন, বেসোফিলিক কেরাটোহায়ালিন দানাগুলিকে সমতল করে এবং জমা করে, যা কেরাটিন গঠনের জন্য অপরিহার্য। কোষগুলি জলীয় বাধা তৈরি করার জন্য বহির্কোষীয় স্থানে লিপিড নিঃসরণ করে।

স্ট্র্যাটাম লুসিডাম (স্বচ্ছ স্তর): চ্যাপ্টা, মৃত কেরাটিনোসাইটগুলির একটি পাতলা, স্বচ্ছ স্তর যা কেবল পুরু ত্বকে পাওয়া যায়।

স্ট্র্যাটাম কর্নিয়াম (শৃঙ্গাকার স্তর): বাহ্যিক স্তর, যা কেরাটিনে ভরা মৃত, চ্যাপ্টা, নিউক্লিয়েটেড কোষের (কর্নিওসাইট) একাধিক স্তর নিয়ে গঠিত। এটি একটি টেকসই, জলরোধী বাধা তৈরি করে।

Dermis

The dermis is the thick layer of connective tissue beneath the epidermis, providing structural support, flexibility, and sensation. It consists of two layers. 

ডার্মিস হলো এপিডার্মিসের নীচে সংযোগকারী টিস্যুর পুরু স্তর, যা কাঠামোগত সহায়তা, নমনীয়তা এবং সংবেদন প্রদান করে। এটি দুটি স্তর নিয়ে গঠিত।
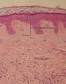
  • Papillary layer: The superficial layer adjacent to the epidermis. It is composed of loose connective tissue and contains finger-like projections called dermal papillae that interdigitate with the epidermis, strengthening the connection. It houses nerve endings for light touch (Meissner’s corpuscles) and capillaries that nourish the avascular epidermis.
  • Reticular layer: The deeper, thicker layer, made of dense irregular connective tissue with thick bundles of collagen and elastic fibers. This layer provides the skin with its strength and elasticity. It contains hair follicles, sweat glands, and sebaceous glands. 


প্যাপিলারি স্তর: এপিডার্মিসের সংলগ্ন উপরিভাগের স্তর। এটি আলগা সংযোগকারী টিস্যু দিয়ে গঠিত এবং এতে আঙুলের মতো প্রক্ষেপণ থাকে যা ডার্মাল প্যাপিলা নামে পরিচিত যা এপিডার্মিসের সাথে মিশে যায়, সংযোগকে শক্তিশালী করে। এটি হালকা স্পর্শের জন্য স্নায়ু প্রান্ত (মেইসনারের কর্পাস্কেল) এবং কৈশিকগুলি ধারণ করে যা অ্যাভাস্কুলার এপিডার্মিসকে পুষ্ট করে। জালিকা স্তর: গভীর, ঘন স্তর, কোলাজেন এবং স্থিতিস্থাপক তন্তুর পুরু বান্ডিল সহ ঘন অনিয়মিত সংযোগকারী টিস্যু দিয়ে তৈরি। এই স্তরটি ত্বককে তার শক্তি এবং স্থিতিস্থাপকতা প্রদান করে। এতে লোমকূপ, ঘাম গ্রন্থি এবং সেবেসিয়াস গ্রন্থি রয়েছে।

Hypodermis (Subcutaneous Layer)

The hypodermis is the deepest layer of the skin and is not strictly part of it, serving to anchor the skin to underlying bone and muscle. It is composed of loose connective and adipose (fat) tissue, which serves as a shock absorber, energy reserve, and thermal insulator. 

হাইপোডার্মিস হল ত্বকের সবচেয়ে গভীর স্তর এবং এটি কেবল এর অংশ নয়, এটি ত্বককে হাড় এবং পেশীর সাথে সংযুক্ত করার জন্য কাজ করে। এটি আলগা সংযোগকারী এবং অ্যাডিপোজ (চর্বিযুক্ত) টিস্যু দ্বারা গঠিত, যা শক শোষক, শক্তি সংরক্ষণ এবং তাপ নিরোধক হিসাবে কাজ করে।

Skin appendages

Skin appendages are structures that develop from the epidermis but extend deep into the dermis.

  • Hair follicles: Structures that produce hair. They consist of a hair bulb containing matrix cells for growth and are associated with sebaceous glands and arrector pili muscles.
  • Sebaceous glands: Glands that secrete an oily substance called sebum to waterproof and lubricate the skin and hair. They are typically associated with hair follicles and appear foamy under a microscope due to their lipid content.
  • Sweat glands: Glands that regulate body temperature and excrete waste. They can be divided into two main types:
    • Eccrine glands: Distributed across most of the body, these coiled glands secrete a watery, salt solution directly onto the skin surface for cooling.
    • Apocrine glands: Larger than eccrine glands, these are located in areas like the armpits and groin. They produce a thicker, odoriferous secretion and are associated with hair follicles.
  • Nails: Composed of layers of hardened keratin, nails protect the tips of fingers and toes. They grow from the nail matrix. 
লোমকূপ: চুল উৎপাদনকারী কাঠামো। এগুলো একটি লোমের বাল্ব দিয়ে তৈরি যার মধ্যে ম্যাট্রিক্স কোষ থাকে যা বৃদ্ধির জন্য কাজ করে এবং এগুলো সেবেসিয়াস গ্রন্থি এবং আর্রেক্টর পিলি পেশীর সাথে যুক্ত।

সেবেসিয়াস গ্রন্থি: গ্রন্থি যা ত্বক ও চুলকে জলরোধী এবং তৈলাক্ত করার জন্য সেবাম নামক একটি তৈলাক্ত পদার্থ নিঃসরণ করে। এগুলি সাধারণত লোমকূপের সাথে যুক্ত থাকে এবং লিপিডের কারণে মাইক্রোস্কোপের নীচে ফেনাযুক্ত দেখায়।

ঘাম গ্রন্থি: গ্রন্থি যা শরীরের তাপমাত্রা নিয়ন্ত্রণ করে এবং বর্জ্য পদার্থ নির্গত করে। এগুলিকে দুটি প্রধান প্রকারে ভাগ করা যেতে পারে:

এক্রিন গ্রন্থি: শরীরের বেশিরভাগ অংশে বিতরণ করা হয়, এই কুঁচকানো গ্রন্থিগুলি শীতল করার জন্য সরাসরি ত্বকের পৃষ্ঠে একটি জলীয়, লবণাক্ত দ্রবণ নিঃসরণ করে।

অ্যাপোক্রাইন গ্রন্থি: এক্রিন গ্রন্থির চেয়ে বড়, এগুলি বগল এবং কুঁচকির মতো জায়গায় অবস্থিত। এগুলি ঘন, গন্ধযুক্ত ক্ষরণ তৈরি করে এবং লোমকূপের সাথে যুক্ত।

নখ: শক্ত কেরাটিনের স্তর দিয়ে তৈরি, নখ আঙুল এবং পায়ের আঙ্গুলের ডগা রক্ষা করে। এগুলি নখের ম্যাট্রিক্স থেকে বৃদ্ধি পায়।

Histological features and functions

Feature Histological CharacteristicsMain Function
KeratinocytesSquamous epithelial cells that mature and flatten as they move to the surface.Form a protective, waterproof barrier through keratinization.
MelanocytesFound in the stratum basale, appearing as clear cells. Produce and transfer melanin to keratinocytes.Produce melanin to protect against UV radiation.
Langerhans cellsDendritic, antigen-presenting immune cells found in the stratum spinosum.Act as the skin’s first line of immune defense.
Merkel cellsNeuroendocrine cells in the stratum basale, interacting with nerve endings.Act as mechanoreceptors for light touch sensation.
Dermal papillaeProtrusions of the dermis into the epidermis.Strengthen the junction between the epidermis and dermis and house capillaries to nourish the epidermis.
Collagen and elastinFibrous proteins forming a strong, flexible matrix in the dermis.Provide the skin with strength and elasticity.
Adipose tissueFat cells (adipocytes) organized into lobules in the hypodermis.Stores energy, insulates the body, and cushions against impact.
Sensory receptorsSpecialized nerve endings like Meissner’s and Pacinian corpuscles, found in the dermis and hypodermis.Detect touch, pressure, temperature, and pain.

Skin Cytology

Skin cytology is a rapid, inexpensive, and minimally invasive diagnostic technique where cells are collected from skin lesions and examined under a microscope to identify infections (like bacteria or fungi), inflammatory processes, or neoplastic (cancerous) changes. This diagnostic method helps to differentiate between benign and malignant tumors, identify the causes of inflammation, and monitor treatment effectiveness for various skin conditions.

স্কিন সাইটোলজি হল একটি দ্রুত, সস্তা এবং ন্যূনতম আক্রমণাত্মক রোগ নির্ণয়ের কৌশল যেখানে ত্বকের ক্ষত থেকে কোষ সংগ্রহ করা হয় এবং সংক্রমণ (যেমন ব্যাকটেরিয়া বা ছত্রাক), প্রদাহজনক প্রক্রিয়া, বা নিওপ্লাস্টিক (ক্যান্সারজনিত) পরিবর্তন সনাক্ত করার জন্য একটি মাইক্রোস্কোপের নীচে পরীক্ষা করা হয়। এই রোগ নির্ণয়ের পদ্ধতিটি সৌম্য এবং ম্যালিগন্যান্ট টিউমারের মধ্যে পার্থক্য করতে, প্রদাহের কারণগুলি সনাক্ত করতে এবং বিভিন্ন ত্বকের অবস্থার জন্য চিকিত্সার কার্যকারিতা পর্যবেক্ষণ করতে সহায়তা করে।


 

What it helps to diagnose:

  • Infections: Can reveal the presence of bacteria, yeast (Malassezia), or fungal spores and hyphae. 
  • Inflammation: Helps characterize the type of inflammation present, such as neutrophilic or pyogranulomatous. 
  • Neoplastic conditions: Differentiates between benign and malignant (cancerous) skin tumors. 
  • Parasites: Can identify the presence of parasitic organisms. 
  • Autoimmune diseases: Can help identify certain autoimmune conditions, such as acantholytic cells seen in pemphigus. 
সংক্রমণ: ব্যাকটেরিয়া, ইস্ট (ম্যালাসেজিয়া), অথবা ছত্রাকের স্পোর এবং হাইফাইয়ের উপস্থিতি প্রকাশ করতে পারে।
প্রদাহ: উপস্থিত প্রদাহের ধরণ চিহ্নিত করতে সাহায্য করে, যেমন নিউট্রোফিলিক বা পাইওগ্রানুলোমাটাস।

নিওপ্লাস্টিক অবস্থা: সৌম্য এবং ম্যালিগন্যান্ট (ক্যান্সারযুক্ত) ত্বকের টিউমারের মধ্যে পার্থক্য করে।

পরজীবী: পরজীবী জীবের উপস্থিতি সনাক্ত করতে পারে।

অটোইমিউন রোগ: কিছু অটোইমিউন অবস্থা সনাক্ত করতে সাহায্য করতে পারে, যেমন পেমফিগাসে দেখা অ্যাক্যানথোলাইটিক কোষ।

Methods of sample collection:

  • Fine-needle aspiration: Using a needle to extract cells from a lump or nodule. 
  • Skin scraping: Gently scraping the surface of the skin to collect cells. 
  • Tape strip/adhesion: Pressing a piece of clear tape onto the skin to pick up cells, then applying the tape to a slide for examination. 
  • Swab samples: Using a swab to collect cells from the surface of lesions or from inside ears. 
  • Impression smear: Directly pressing a glass slide onto a moist or ulcerated lesion to collect cells. 

Benefits:

  • Fast: Provides quick information compared to other diagnostic tests. 
  • Inexpensive: A cost-effective method for diagnosis. 
  • Minimally invasive: Involves a simple collection process with little discomfort to the patient. 
  • Versatile: Applicable to a variety of skin lesions, including pustules, papules, scales, crusts, ulcers, and nodules. 
  • Monitoring therapy: Useful for evaluating the effectiveness of treatments. 

Total Tissues of Human Skin

The skin contains all four major tissue types: epithelial, connective, muscle, and nervous tissue. These tissues are organized into three primary layers: the epidermis, dermis, and hypodermis. 

Layers of the Skin | Anatomy and Physiology I
What Are the Three Layers of the Skin?
Functions of the Skin - Epidermis - Dermis - TeachMeAnatomy
Layers of the Skin | Anatomy and Physiology I
4.1 Types of Tissues – Anatomy & Physiology

Epidermis

This is the skin’s outermost, protective layer and is made of epithelial tissue. Its main tissue components include: 

এটি ত্বকের বাইরেরতম, প্রতিরক্ষামূলক স্তর এবং এটি এপিথেলিয়াল টিস্যু দিয়ে তৈরি। এর প্রধান টিস্যু উপাদানগুলির মধ্যে রয়েছে:
  • Keratinized stratified squamous epithelium: The epidermis is primarily made of keratinocytes, which produce the water-resistant protein keratin. This tissue is arranged in several layers or strata.
  • Other cell types: Within the epithelial layers are other cells vital for skin function:
    • Melanocytes: Produce melanin pigment, which protects against UV radiation.
    • Langerhans cells: Dendritic cells that help fight infections and activate the immune system.
    • Merkel cells: Act as mechanoreceptors for light touch sensation. 
কেরাটিনাইজড স্ট্র্যাটিফাইড স্কোয়ামাস এপিথেলিয়াম: এপিডার্মিস মূলত কেরাটিনোসাইট দিয়ে তৈরি, যা জল-প্রতিরোধী প্রোটিন কেরাটিন তৈরি করে। এই টিস্যুটি বিভিন্ন স্তর বা স্তরে সাজানো থাকে।

অন্যান্য কোষের ধরণ: এপিথেলিয়াম স্তরের মধ্যে অন্যান্য কোষ রয়েছে যা স্ক-এর জন্য গুরুত্বপূর্ণ।

মেলানোসাইট: মেলানিন রঞ্জক তৈরি করে, যা অতিবেগুনী বিকিরণ থেকে রক্ষা করে।

ল্যাঙ্গারহ্যান্স কোষ: ডেনড্রাইটিক কোষ যা সংক্রমণের বিরুদ্ধে লড়াই করতে এবং রোগ প্রতিরোধ ক্ষমতা সক্রিয় করতে সাহায্য করে।

মর্কেল কোষ: হালকা স্পর্শ সংবেদনের জন্য মেকানোরিসেপ্টর হিসেবে কাজ করে।

Dermis

Located beneath the epidermis, the dermis is a thicker layer of connective tissue that provides strength and elasticity to the skin. The dermis itself contains two sub-layers with different tissue compositions: 

এপিডার্মিসের নীচে অবস্থিত, ডার্মিস হল সংযোগকারী টিস্যুর একটি ঘন স্তর যা ত্বককে শক্তি এবং স্থিতিস্থাপকতা প্রদান করে। ডার্মিস নিজেই দুটি উপ-স্তর ধারণ করে যার বিভিন্ন টিস্যু গঠন রয়েছে:
  • Papillary layer: The superficial layer consists of loose, areolar connective tissue. It contains tiny blood vessels (capillaries), defensive cells (phagocytes), and specialized touch receptors (Meissner’s corpuscles).
  • Reticular layer: The thicker, deeper layer of the dermis is composed of dense, irregular connective tissue. This layer contains dense bundles of collagen fibers for structure and strength, as well as elastin fibers for elasticity. 
প্যাপিলারি স্তর: পৃষ্ঠস্থ স্তরটি আলগা, ক্ষেত্রীয় সংযোগকারী টিস্যু দ্বারা গঠিত। এতে ক্ষুদ্র রক্তনালী (কৈশিক), প্রতিরক্ষামূলক কোষ (ফ্যাগোসাইট) এবং বিশেষায়িত স্পর্শ রিসেপ্টর (মেইসনারের কর্পাস্কল) থাকে।

জালিকার স্তর: ডার্মিসের ঘন, গভীর স্তরটি ঘন, অনিয়মিত সংযোগকারী টিস্যু দ্বারা গঠিত। এই স্তরে গঠন এবং শক্তির জন্য কোলাজেন তন্তুর ঘন বান্ডিল রয়েছে, সেইসাথে স্থিতিস্থাপকতার জন্য ইলাস্টিন তন্তু রয়েছে।

The dermis also houses other essential tissues and structures: 

  • Nervous tissue: Contains nerve endings for sensing pain, temperature, and pressure.
  • Muscle tissue: Includes smooth muscle found in the walls of blood vessels and the arrector pili muscles attached to hair follicles.
  • Connective tissue: Includes hair follicles, sweat glands, and sebaceous glands, which are considered epidermal derivatives but reside primarily within the dermis. 
স্নায়বিক টিস্যু: ব্যথা, তাপমাত্রা এবং চাপ অনুধাবন করার জন্য স্নায়ু প্রান্ত থাকে।

পেশী টিস্যু: রক্তনালীর দেয়ালে পাওয়া মসৃণ পেশী এবং লোমকূপের সাথে সংযুক্ত আর্রেক্টর পিলি পেশী অন্তর্ভুক্ত করে।

সংযোজক টিস্যু: লোমকূপ, ঘাম গ্রন্থি এবং সেবেসিয়াস গ্রন্থি অন্তর্ভুক্ত করে, যেগুলিকে এপিডার্মাল ডেরিভেটিভ হিসাবে বিবেচনা করা হয় কিন্তু প্রাথমিকভাবে ডার্মিসের মধ্যে থাকে।

Hypodermis (Subcutaneous layer)

Though not always considered a true skin layer, the hypodermis lies directly below the dermis and is made of connective and adipose tissue. Its primary tissue components include: 

যদিও সবসময় ত্বকের প্রকৃত স্তর হিসেবে বিবেচিত হয় না, হাইপোডার্মিসটি ডার্মিসের ঠিক নীচে থাকে এবং এটি সংযোজক এবং অ্যাডিপোজ টিস্যু দিয়ে তৈরি। এর প্রাথমিক টিস্যু উপাদানগুলির মধ্যে রয়েছে:
  • Areolar connective tissue: Connects the skin to underlying structures.
  • Adipose tissue: Functions as a mode of fat storage and provides insulation and cushioning.
  • Blood vessels and nerves: The hypodermis is well-vascularized and contains larger blood vessels and nerves that extend to the dermis. 
অ্যারিওলার সংযোগকারী টিস্যু: ত্বককে অন্তর্নিহিত কাঠামোর সাথে সংযুক্ত করে
অ্যারিওলার সংযোগকারী টিস্যু: ত্বককে অন্তর্নিহিত কাঠামোর সাথে সংযুক্ত করে
রক্তনালী এবং স্নায়ু: হাইপোডার্মিসটি ভালভাবে রক্তনালীযুক্ত এবং এতে বৃহত্তর রক্তনালী এবং স্নায়ু থাকে যা ডার্মিস পর্যন্ত প্রসারিত হয়।

Anatomy of the Papillary Layer of Skin

The papillary layer is the thin, superficial layer of the dermis composed of loose connective tissue that forms dermal papillae – finger-like projections connecting to the epidermis. It contains capillaries, nerve endings (including Meissner’s corpuscles for touch), fibroblasts, phagocytes, and loose collagen and elastic fibers. This highly vascularized layer provides nutrients to the epidermis, supports sensory functions, and contributes to skin elasticity.

প্যাপিলারি স্তর হল ডার্মিসের পাতলা, উপরিভাগের স্তর যা আলগা সংযোগকারী টিস্যু দিয়ে গঠিত যা ডার্মাল প্যাপিলা তৈরি করে - আঙুলের মতো প্রক্ষেপণ যা এপিডার্মিসের সাথে সংযুক্ত। এতে কৈশিক, স্নায়ু প্রান্ত (স্পর্শের জন্য মেইসনারের কর্পাস্কল সহ), ফাইব্রোব্লাস্ট, ফ্যাগোসাইট এবং আলগা কোলাজেন এবং ইলাস্টিক ফাইবার রয়েছে। এই অত্যন্ত ভাস্কুলারাইজড স্তরটি এপিডার্মিসকে পুষ্টি সরবরাহ করে, সংবেদনশীল ফাংশনগুলিকে সমর্থন করে এবং ত্বকের স্থিতিস্থাপকতা বৃদ্ধিতে অবদান রাখে।


 Key Components

  • Dermal Papillae:Small, nipple-like projections of the papillary layer that interdigitate with the epidermal ridges, creating a strong bond and forming fingerprints. 
  • Loose Connective Tissue:The fundamental tissue type, with loosely arranged collagen and elastic fibers, as well as a ground substance rich in hyaluronic acid. 
  • Blood Vessels:A rich capillary network, part of the subpapillary plexus, that supplies nutrients and oxygen to the overlying epidermis. 
  • Nerve Fibers:Contains sensory nerve endings and receptors like Meissner’s corpuscles, responsible for tactile sensation. 
  • Cells:Includes fibroblasts (which produce extracellular matrix), adipocytes (fat cells), and phagocytes (bacteria-fighting cells). 
  • Lymphatic Capillaries:Also found in this layer, playing a role in fluid balance and immune response.
ডার্মাল প্যাপিলি: প্যাপিলারি স্তরের ছোট, স্তনবৃন্তের মতো প্রক্ষেপণ যা এপিডার্মাল শিরাগুলির সাথে মিশে যায়, একটি শক্তিশালী বন্ধন তৈরি করে এবং আঙুলের ছাপ তৈরি করে।

আলগা সংযোগকারী টিস্যু: মৌলিক টিস্যুর ধরণ, যার মধ্যে আলগাভাবে সাজানো কোলাজেন এবং ইলাস্টিক ফাইবার রয়েছে, সেইসাথে হায়ালুরোনিক অ্যাসিড সমৃদ্ধ একটি স্থল পদার্থ রয়েছে।

রক্তনালী: একটি সমৃদ্ধ কৈশিক নেটওয়ার্ক, সাবপ্যাপিলারি প্লেক্সাসের অংশ, যা উপরের এপিডার্মিসে পুষ্টি এবং অক্সিজেন সরবরাহ করে।

স্নায়ু তন্তু: সংবেদনশীল স্নায়ু প্রান্ত এবং মেইসনারের কর্পাস্কলের মতো রিসেপ্টর রয়েছে, যা স্পর্শকাতর সংবেদনের জন্য দায়ী।

কোষ: ফাইব্রোব্লাস্ট (যা বহির্কোষীয় ম্যাট্রিক্স তৈরি করে), অ্যাডিপোসাইট (চর্বি কোষ) এবং ফ্যাগোসাইট (ব্যাকটেরিয়া-প্রতিরোধী কোষ) অন্তর্ভুক্ত করে।

লিম্ফ্যাটিক কৈশিক: এই স্তরে পাওয়া যায়, যা তরল ভারসাম্য এবং রোগ প্রতিরোধ ক্ষমতার ক্ষেত্রে ভূমিকা পালন করে।

Function

  • Nutrient Supply: Provides essential nutrients and oxygen from the capillaries to the epidermis. 
  • Sensory Perception: Houses sensory receptors that detect touch and pressure. 
  • Structural Support: Its projections anchor the epidermis, preventing shearing and enhancing skin flexibility. 
  • Thermoregulation: The highly vascular nature of the layer is crucial for regulating body temperature by controlling blood flow. 
  • Immune Defense: Phagocytes in this layer help to fight off pathogens. 
পুষ্টির সরবরাহ: কৈশিক থেকে এপিডার্মিস পর্যন্ত প্রয়োজনীয় পুষ্টি এবং অক্সিজেন সরবরাহ করে।

সংবেদনশীল উপলব্ধি: স্পর্শ এবং চাপ সনাক্তকারী সংবেদনশীল রিসেপ্টরগুলিকে আশ্রয় করে।

কাঠামোগত সহায়তা: এর প্রক্ষেপণগুলি এপিডার্মিসকে স্থিত করে, লোম কাটা রোধ করে এবং ত্বকের নমনীয়তা বৃদ্ধি করে।

তাপ নিয়ন্ত্রণ: রক্ত ​​প্রবাহ নিয়ন্ত্রণ করে শরীরের তাপমাত্রা নিয়ন্ত্রণের জন্য স্তরের অত্যন্ত ভাস্কুলার প্রকৃতি অত্যন্ত গুরুত্বপূর্ণ।

রোগ প্রতিরোধ ক্ষমতা: এই স্তরের ফ্যাগোসাইটগুলি রোগজীবাণুগুলির বিরুদ্ধে লড়াই করতে সহায়তা করে।

Anatomy of the Reticular Layer of Skin

The reticular layer is the deep, thick, and strong layer of the dermis, primarily composed of dense irregular connective tissue with thick bundles of collagen fibers (Type I and III) and elastic fibers. It contains the main structures of the skin, including blood vessels, nerves, hair follicles, sweat glands, sebaceous glands, and fat cells. This intricate network of fibers provides the skin with strength, elasticity, and the ability to return to shape after stretching.

জালিকার স্তর হল ত্বকের গভীর, পুরু এবং শক্তিশালী স্তর, যা মূলত ঘন অনিয়মিত সংযোগকারী টিস্যু দিয়ে গঠিত, যার মধ্যে রয়েছে কোলাজেন তন্তু (টাইপ I এবং III) এবং স্থিতিস্থাপক তন্তুর ঘন বান্ডিল। এতে ত্বকের প্রধান কাঠামো রয়েছে, যার মধ্যে রয়েছে রক্তনালী, স্নায়ু, লোমকূপ, ঘাম গ্রন্থি, সেবেসিয়াস গ্রন্থি এবং চর্বি কোষ। তন্তুর এই জটিল নেটওয়ার্ক ত্বককে শক্তি, স্থিতিস্থাপকতা এবং প্রসারিত হওয়ার পরে আকৃতিতে ফিরে আসার ক্ষমতা প্রদান করে।

Key Components

  • Collagen Fibers: The primary component of the reticular layer, particularly Type I and Type III collagen, forming a dense, interwoven network that provides tensile strength and structure to the skin. 
  • Elastic Fibers:These fibers provide the skin with its elasticity, allowing it to stretch and spring back into place after deformation. 
  • Ground Substance:This includes macromolecules like proteoglycans and hyaluronan, which help resist compressive forces. 
  • Cells:Fibroblasts (which produce the extracellular matrix), immune cells (macrophages, mast cells), and resident leukocytes are found in this layer. 
কোলাজেন তন্তু: জালিকার স্তরের প্রাথমিক উপাদান, বিশেষ করে টাইপ I এবং টাইপ III কোলাজেন, একটি ঘন, আন্তঃবোনা নেটওয়ার্ক তৈরি করে যা ত্বকে প্রসার্য শক্তি এবং গঠন প্রদান করে।

স্থিতিস্থাপক তন্তু: এই তন্তুগুলি ত্বককে তার স্থিতিস্থাপকতা প্রদান করে, যা বিকৃতির পরে এটিকে প্রসারিত হতে এবং জায়গায় ফিরে আসতে দেয়।

স্থল পদার্থ: এর মধ্যে রয়েছে প্রোটিওগ্লাইক্যান এবং হায়ালুরোনান এর মতো ম্যাক্রোমোলিকিউল, যা সংকোচনশীল শক্তি প্রতিরোধে সহায়তা করে।

কোষ: ফাইব্রোব্লাস্ট (যা বহির্কোষীয় ম্যাট্রিক্স তৈরি করে), রোগ প্রতিরোধক কোষ (ম্যাক্রোফেজ, মাস্ট কোষ) এবং আবাসিক লিউকোসাইট এই স্তরে পাওয়া যায়।

Key Structures within the Reticular Layer

  • Blood Vessels and Lymphatics:An extensive network of blood vessels supplies nutrients and removes waste products, while lymphatics collect fluid. 
  • Nerves:The reticular layer contains a rich supply of sensory (e.g., Pacinian and Ruffini corpuscles) and sympathetic nerves. 
  • Accessory Structures:It houses the roots of hair follicles, sweat glands (eccrine and apocrine), and sebaceous glands. 
  • Fat Cells:Adipocytes, or fat cells, are present within this layer. 
রক্তনালী এবং লিম্ফ্যাটিক: রক্তনালীগুলির একটি বিস্তৃত নেটওয়ার্ক পুষ্টি সরবরাহ করে এবং বর্জ্য পদার্থ অপসারণ করে, যখন লিম্ফ্যাটিক তরল সংগ্রহ করে।

স্নায়ু: জালিকার স্তরে প্রচুর পরিমাণে সংবেদনশীল (যেমন, প্যাসিনিয়ান এবং রুফিনি কর্পাস্কল) এবং সহানুভূতিশীল স্নায়ু থাকে।

আনুষঙ্গিক কাঠামো: এটি লোমকূপের শিকড়, ঘাম গ্রন্থি (এক্রিন এবং অ্যাপোক্রাইন) এবং সেবেসিয়াস গ্রন্থিগুলিকে ধারণ করে।

ফ্যাট কোষ: এই স্তরের মধ্যে অ্যাডিপোসাইট বা ফ্যাট কোষ থাকে।

Functions

  • Structural Support: Provides the skin with its strength and stability. 
  • Elasticity: Allows the skin to be elastic and return to its original shape after being stretched or pinched. 
  • Hydration: Collagen fibers in the dermis bind water, contributing to skin hydration. 
  • Nutrient Supply: Supports the avascular epidermis by providing it with necessary nutrients and removing cellular waste through its rich vascular supply. 
  • Thermoregulation: The blood vessels in the dermis play a role in regulating body temperature. 
  • Sensory Perception: Contains sensory receptors sensitive to pressure, stretching, and other stimuli. 
কাঠামোগত সহায়তা: ত্বককে তার শক্তি এবং স্থায়িত্ব প্রদান করে।

স্থিতিস্থাপকতা: ত্বককে স্থিতিস্থাপক হতে দেয় এবং প্রসারিত বা চিমটি দেওয়ার পরে তার আসল আকারে ফিরে আসে।

হাইড্রেশন: ডার্মিসের কোলাজেন ফাইবার জলকে আবদ্ধ করে, ত্বকের হাইড্রেশনে অবদান রাখে।

পুষ্টির সরবরাহ: অ্যাভাস্কুলার এপিডার্মিসকে প্রয়োজনীয় পুষ্টি সরবরাহ করে এবং এর সমৃদ্ধ ভাস্কুলার সরবরাহের মাধ্যমে কোষীয় বর্জ্য অপসারণ করে সমর্থন করে।

তাপ নিয়ন্ত্রণ: ডার্মিসের রক্তনালীগুলি শরীরের তাপমাত্রা নিয়ন্ত্রণে ভূমিকা পালন করে।

সংবেদনশীল উপলব্ধি: চাপ, প্রসারিত এবং অন্যান্য উদ্দীপনার প্রতি সংবেদনশীল সংবেদনশীল রিসেপ্টর ধারণ করে।
HRTD Medical Institute

Check Also

Animal Urine Analysis

Animal urine analysis (urinalysis) is a vital, non-invasive diagnostic tool used by veterinarians to assess kidney …

Leave a Reply

Your email address will not be published. Required fields are marked *